- The Performance Doctor
- Posts
- The Clinical Coach: POCUS
The Clinical Coach: POCUS
Real time tissue image - is it right for your clinic?
,
I’ve been studying the use of US in rehab based practice for over three years now. It’s been a slow progress on my end as I’ve been learning it on my own.
Originally it was for my own amusement to see what was happening inside the patients tendon or muscle. It happens that’s its been a very handy tool to view tissues in real-time. I’ve always like to use tech to my advantage be it imaging, app based workflow, an now even AI-based protocols.
Today’s Clinical Coach is sponsored by:
Nittany Valley Chiropractic Center.
NVCC is looking for an associate doctor to join their team in State College, PA.
Find the job posting attached or contact Dr. Love
We are entering a new era of healthcare, and with it a new level of care emerges.
I’ve been using US to find and admire tendons and muscle injuries in the upper extremity for the last few years. It’s been a lot of fun.
I’ve also been using ultrasound imaging in some of our courses to show the depth and angle of a needle when inserted.
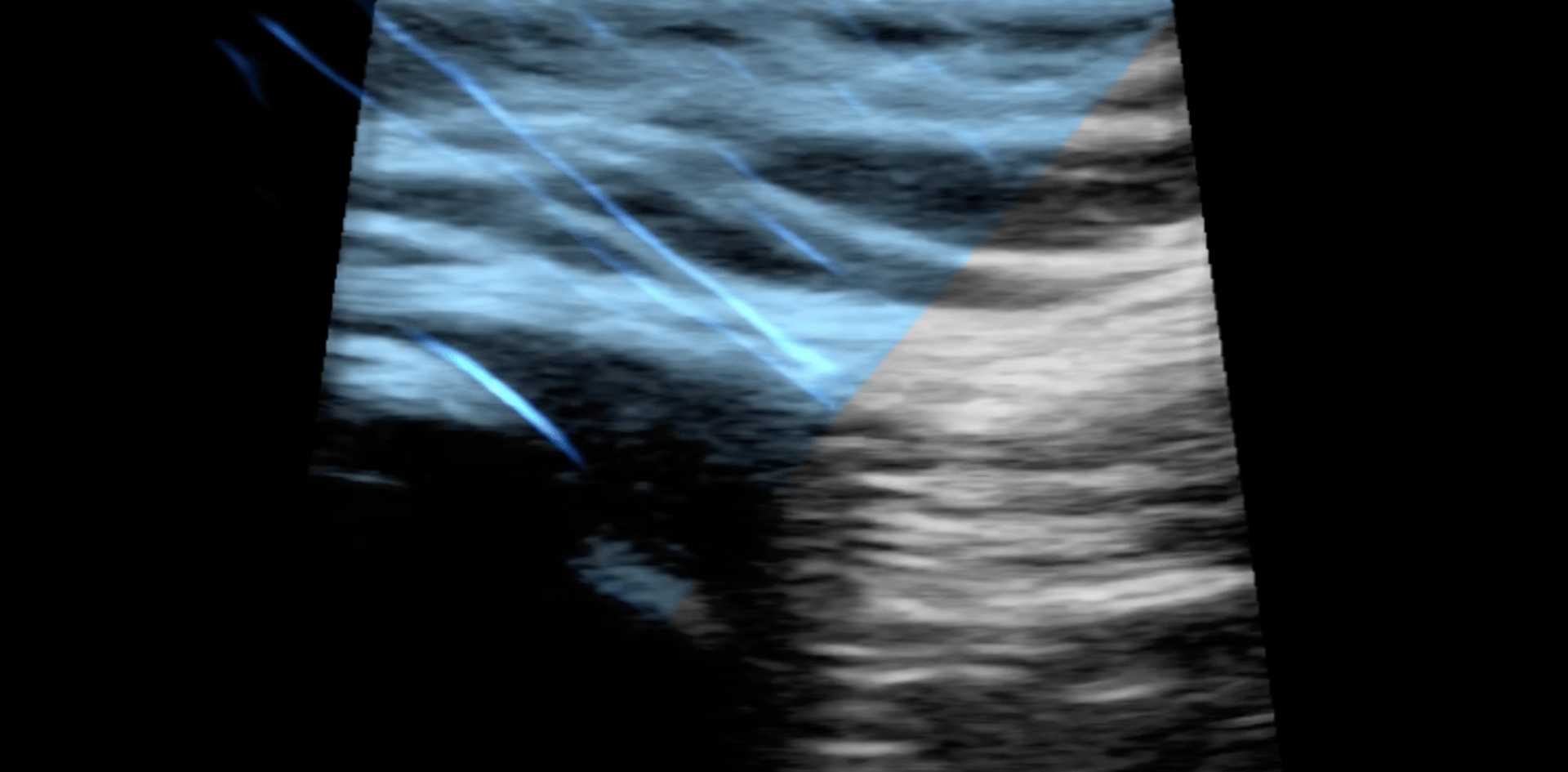
Here’s an image we captured dry needling a patellar tendon. Keep an eye on the long blue streaks on the left side of the screen… those are the needles (theres only 2).

Students and practitioners usually ask if I still do my routine evaluation in addition to POCUS.
The short answer: YES.
The long answer: Yes. The patient’s history, orthopedic examination, MOI and demographics give me a 90% accuracy on my diagnosis. I use imaging to fill in the other 10%.
In the case of ultrasound imaging. I have been fascinated by being able to visualize tissue in real time. The gliding of muscles and tendons, the elasticity of ligaments and the depth of nerves and bone.
It’s provided me with more information to present better expectations to my patient. This has been a tremendous help when expecting a shoulder to improve in 6 weeks vs 10 weeks, or managing an acute muscle tear.
To say the least, it’s been a great addition to my clinic, but it’s also been a tool to give peace of mind to some of my anxious patients.
Over the last three years, I’ve found 3 cysts in three different regions, 2 acute muscle tears and a lot of normal shoulder anatomy.
It’s been during the normal anatomy scans where patients find a lot of comfort. Their pain coming from tissue aggravation, not from torn tendons or muscles. Yes, in some cases it opens that door for follow up questions like, why is it happening? what are the next steps? etc.
It’s a great time to be a guide and provide them with the right expectations and program that will help them (not one that just gives them hope)
The question IS: should I invest in this for my office?
My simple answer: If you are not working with a lot of tendon/muscle injuries. Then the resounding answer is a big NO.
If you are working with a lot of tendon/muscle injuries, you are working with a lot of athletes or are working in a high sports injury practice; specially assessing and treating extremities. I think it’s a valuable tool that could aid your diagnostic skills and provide your patients with much better expectations.
But… there’s a steep learning curve.
It’s not an easy to learn imaging modality. It takes time, effort, money, and a a lot of repetitions (patients) to get proficient at it. My recommendations would be - learn this while you are in school, or after you’ve establish your practice (3-5yrs). I would highly avoid learning this AND trying to build a practice.
I do believe POCUS will play a huge role in brick & mortar clinics in the next few years, but not every chiropractor, physical therapist, or healthcare practitioner will need one.
If you are looking into POCUS, let’s chat. I have no affiliation with any POCUS retailers, but as always, I’m happy to share my experience with what I have used.
Now, if you are already proficient with US imaging and also possess your CDNP (or similar). Dr Janelle Goss is diving deep into the physiological tissue changes occurring with ultrasound guided dry needling. If you’re interested in collaborating in future publications please send us an e-mail and we’ll get in contact with you.
Stay tuned for next Friday as I’ll be sharing the case and rehab of a patient with full shoulder reconstruction post motorcycle accident. It’s a long one.
In health and strength,

Dr. Thomas Kauffman
P.S. The FCW Founders Camp is now closed for registration, if you were able to get in, expect new communications this coming week. Time to Develop A Business That Outgrows Distractions, Outlast Trends, and Scales With You.
Reply